イギリスのロンドンにある大英博物館でエジプト時代の頭蓋骨が展示されているのを見ました。4000年前、エジプトでピラミッドが建設されていた時代、日本はまだ縄文時代でした。その時代の顎の骨や歯が綺麗な状態で保存されているのに感動しました。歯科医師として、どうしても顎の骨や歯に目がいってしまいますね。

大英博物館 エジプト時代の下顎骨

骨がない部分があるのが分かります
まず最初に気になったのは、歯が全体的にすり減っていることです。4000年前のエジプトの人々も、現代のように歯ぎしりをしていたのでしょうか。しかし、それ以上に気になるのは、歯の周辺の骨がなくなっていることです。なぜ他の歯は問題がないのに、この歯だけ骨がないのでしょうか。
これは昔の病気ではなく、現代でも歯科医院で日常的に見かける病気です。骨がなくなる歯の病気にはどんなものがあるのでしょうか。
骨がなくなる歯の病気 ① 歯周病
歯周病は、歯茎に炎症が起こることにより、骨が吸収されてしまう病気です。炎症が進行すると、骨が徐々になくなり、最後には歯が揺れて抜けてしまいます。
骨が溶けると言われるとイメージするのが難しいかもしれませんが、歯茎から出血が続く間は少しずつ骨が吸収しています。
骨がなくなる歯の病気 ② 根尖性歯周炎
根尖性歯周炎は、虫歯が大きくなって歯の神経が死んでしまった状態です。歯の中でムシ歯が広がり、歯髄(歯の中の空間にある神経と血管)が感染してしまいます。その感染が歯の根っこの先へ広がると、骨が溶けてしまいます。歯科医院では、根っこの先の病気や根っこが膿んでいると言われることが一般的です。
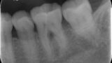
この骨の病気は何か?
展示されていたエジプトの頭蓋骨の歯の状態を見ると、歯周病と根尖性歯周炎が同時に起きていたのではないかと推測されます。どちらか一方の状態から、もう一方の状態へと進行していった可能性もあります。特に奥歯は根っこの形が複雑で、炎症が急速に広がることがあります。
奥歯の分岐部に病気が広がった状態を根分岐部病変と言います。大英博物館での写真がとても分かりやすいです。
こうなってしまうと治療するのは難しく、抜歯も視野に入ってきます。
エジプト時代の頭蓋骨も現代と同じ病気をかかえていました。過去の人々も同じような歯の問題に悩んでいたかもしれないですね。もちろんこの時代に歯の治療はなかったと思いますが。


コメント