エンドぺリオ病変もしく歯周ー歯内病変
これ1番ややこしいやつです。歯周病なのに歯の神経の治療が必要。「あれ、神経の治療ってムシ歯のときにやるやつでは…?」 となりますよね。
歯周病に注目しているとたまに出くわすエンドぺリオ
今回は我々を悩ますエンドぺリオ病変について解説します。

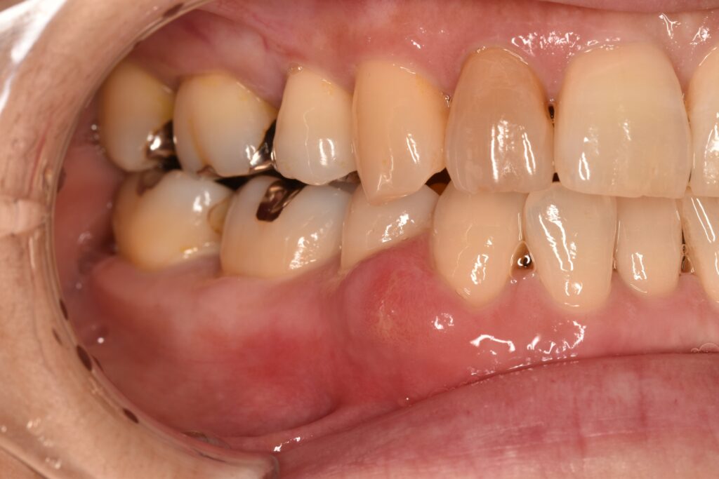
こんな感じで歯肉が大きく腫れている患者さんが来院されました。
まずは歯間ブラシで歯肉のチェックです。
ん?歯周病かな?でも歯間ブラシの状態は良い感じ。なぜ腫れているのか…
次はプロービング検査です。歯周病の診断をするにはこれしかありません。
私が一番大切にしている検査です。
プローブがズボズボっと入っていきます。15mm以上これは歯根の先端まで達している状態です。
こんなときはレントゲンを撮るのが大切ですね。

レントゲンでは歯周病の所見も認めますが、レントゲンのみでは15mmもプローブが入るような写り方はしていません。
おそらく何か他にも原因があるのでしょう。(歯科関係者のみなさん過剰歯があるのは無視してください)
目次
歯周病で神経の治療ってどういうこと!?
歯周病ってなんだ

歯周病は歯肉炎と歯周炎に大きく分けられます。
歯肉炎は歯肉だけの炎症。歯磨きだけで治すことができます。
歯周炎は歯肉の炎症に留まらず、骨が吸収し始めている状態。無くなった骨は元に戻りません。
上のレントゲンからは少し骨が溶けている様子が見られます。
歯の神経の治療って何?
・歯の神経の治療
・神経抜く
一度は聞いたことありますが具体的にどんな治療か知っていますか?
正式名称は 根管治療 です。
実は歯の中には神経と血管が入っています。正式には歯髄といいます。
ムシ歯菌がこの歯髄に感染してしまうと、歯の中で細菌が増殖して痛みが出ます。
そうなると歯の中を綺麗にしてあげる必要があるのですが、それが神経を抜く(正式には根管治療)なんです。
歯周ー歯内病変とは(エンドペリオ病変)
歯周ー歯内病変の分類
Simon らの分類 や Weineの分類 などが歯周ー歯内病変に関して有名です。
Simon らの分類では病変の発症経路について分類した指針で、つまり原因が根管感染なのか歯周感染なのかを見極めるための指標です。
Weineの分類は臨床経過や病態の進行ステージなど、病変の原因ではなくどのように進行していくかに注目を置いた分類です。
その中では医原性要因によるものも挙げられており、診断だけでなく治療技術も重要なことがわかります。
こういった指針を用いながら我々はその歯に起きている問題、原因を診断していきます。
エンドぺリオ病変を見つける方法
ムシ歯と歯周病は全く別の病気です。
みなさんご存知のようにムシ歯が進行してしまうと、ムシ歯菌が歯髄に感染して根管治療が必要になります。
しかし歯周病でも根管治療が必要になる場合があるのです。

歯周ポケットが深くなりすぎて、歯根の先端から細菌が歯髄に感染することもあるのです。
先端まで行かなくても根管には側枝というのがあって、そこから感染することもあります。
つまり歯周病が進行すると神経の治療(根管治療)が必要になる場合もあるのです。
そうならないためにも常にプロービング検査(歯周病検査)をして歯周病の進行を見逃さないようにする必要があります。
そして慎重な診断が必要です。
エンドぺリオ病変の治療法
基本的にエンドぺリオ病変の場合、根管治療を最初におこなう必要があります。
根管治療をおこなわず歯周病治療を先におこなってしまうと、原因の根本解決にならないだけではなく、状態をさらに悪化させてしまう場合があります。
だから最初の診断がとても重要になってきます。
根管治療が終了して3ヶ月後くらいから、歯周病治療を開始するのが良いとされています。

根管治療が終了した歯には、再び歯の中で細菌感染が起きないように根管内を封鎖します。
レントゲンを見ると根管内が白い材料で満たされているのが分かるかと思います。
適切な治療をおこなうことで、このようにプローブが深く入らなくなり、出血も無くなります。
引き締まった歯肉見るとテンション上がります!
歯周病で歯の神経を抜かないために
歯周病で根管治療が必要になるのは重度歯周炎の症例
基本的に歯周病で根管治療が必要になるような歯は重度の歯周炎の状態であることが多いです。
骨欠損が少なければ歯の予後はそれなりに良いですが、骨欠損の状態が大きかったり、根分岐部病変が関わってたりするとはの予後は悪くなってしまいます。
軽度な歯周病では根管治療になることは少ないので、なるべく早期発見することが重要です。
ここに関しては歯間ブラシで完璧な歯磨きをしていても予防することはできないので、やはり定期的な歯科医院の受診(プロービング検査)は重要になってきます。
歯周病でない場合は歯周病の治療をしてはいけない
これはすごい大切なことです。
臨床的に歯周病と似た所見や、歯周病のような症状がある場合があります。
たとえば根管治療のみが必要な歯に対して、歯周病治療でアプローチしてしまうと根本原因を間違えているわけなので治らないどころか状態をさらに悪化させてしまいます。
だから様々な視点からの診査・診断が重要なんです。
歯周病を見つけるだけでなく、歯周病ではないことを確認するのも大切です。


コメント