歯医者が多いのに歯周病が多いって本当?

様々なメディアで国民の8割が歯周病だと...
みなさんも目にした機会があると思います。
ということは!その方々に必要なのは
歯周病予防ではなく歯周病治療ではないでしょうか。
日本で増え続ける歯周病をストップさせるのが
私、歯間ブラシの歯医者さんです。

歯周病

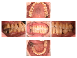
歯間ブラシが全て!歯周病治療症例①

歯間ブラシは歯周病治療に必須です。 歯周病は歯間から始まります。 フロスは?と思われるかもしれませんが、フロスは虫歯予防に使用するものです。 EFP(ヨーロッパ歯周病連盟)のガイドラインでも、歯間ブラシが第一選択になっています。
歯周病

PISA 歯周病評価の新しい概念

そのまま訳すと「歯周炎症表面積」 歯周組織の炎症表面積 歯周炎によって炎症を起こしている歯周組織の表面積
歯周病

エンドぺリオ病変 〜歯周病なのに神経の治療が必要〜

基本的にエンドぺリオ病変の場合、根管治療を最初におこなう必要があります。 根管治療をおこなわず歯周病治療を先におこなってしまうと、原因の根本解決にならないだけではなく、状態をさらに悪化させてしまう場合があります。 だから最初の診断がとても重要になってきます。 根管治療が終了して3ヶ月後くらいから、歯周病治療を開始するのが良いとされています。
歯周病

歯間ブラシそこ通すんですか!?

患者さんは「え?ここ通すの!?」となることが多いですが、すぐに状態は改善していきます。 最初は出血が多くびっくりすることもあるかもしれませんが、1週間もすれば出血は改善し腫れる感じがあった方も症状がなくなることが多いです。 根分岐部の歯間ブラシが一番パワーを感じます!
歯間ブラシ

歯間ブラシVSフロス:EFPガイドラインが示す本当の推奨とその理由

日本では「歯と歯の間はフロス」と紹介されることが多く、テレビCMや雑誌でもフロスが強調されがちです。ところが、ヨーロッパ歯周病学会(EFP)のS3レベル臨床ガイドライン(Sanz et al., 2020)では、**歯周病治療やメンテナンス患者における第一選択は歯間ブラシ(Interdental Brushes, IDB)**であると明確に推奨しています。
歯周病

歯石取り?歯周病治療?何が違うの?

Q1. 歯石取りは歯周病治療ですか? A. はい、歯石取りは歯周病治療(STEP2)の一部ですが、STEP1のセルフケア改善が前提です。 Q2. 歯ぐきから出血するのは歯周病ですか? A. 出血は歯周病のサインであることが多いですが、歯間ブラシ不足や磨き残しが原因の場合もあります。早めの検査が必要です。 Q3. 予防歯科と歯周病治療の違いは? A. 予防歯科は、歯周病や虫歯にならないようにするための広い概念で、病気になっていない人が対象です。歯周病治療は、診断後に行う具体的な治療です。
海外

EuroPerio(ユーロぺリオ)11 VIENNAに行ってきました※初参加

EuroPerioとはヨーロッパ歯周病連盟(EFP)が3年に一度開催する歯周病の学会です。メインの会場キャパは4000人でそれが満員になるぐらいの参加者がいます。ヨーロッパ歯周病学会ですからヨーロッパ中から歯周病の専門医が集まってきています。
歯間ブラシ

歯間ブラシで大量出血…

出血がなぜ起こるのか?仕組みを簡単に説明すると... 歯にプラーク(細菌)が付着→歯肉に炎症が起きる→触れただけで出血→その部分でプラーク(細菌)が増える→大出血 こんなイメージです。たまに歯を磨いたら出血するのは普通と思っている患者さんがいますが、健康な歯肉なら絶対に出血することはありません。
歯周病

国民の8割!? あなたは歯周病!?

歯医者が増え続けているのに国民の8割が歯周病!?なにが起こっているのか!?
歯周病

根分岐部病変は歯間ブラシで治す!

外科的な治療法もたくさんありますが、根分岐部病変にもまずおこなうのは歯間ブラシを通すことです。