目次
歯周病治療症例①
治療前後の比較は患者さんによって異なり、治療のゴール設定も個人差があります。
ただ私の治療コンセプトと歯周病治療の考え方は一貫しているので、この症例からそれを感じていただければと思います。
患者さんは下の前歯が揺れることを主訴に来院されました。家族から口臭も指摘されていたそうです。
歯磨きはしっかりされているそうですが、歯肉付近のブラッシングが不十分で歯石が多くの部位に沈着していました。


歯周病治療について
歯周病は自らが治すもの
まず歯周病治療は受け身ではなく、患者さん自らが治すものです。
最近ブルーラジカルという歯周ポケット内の細菌を99.9%殺菌できる新しい治療器が流行っていますが、歯周病は受け身では絶対に治りません。
新しい機器なら歯周病が治るとミスリードしてしまうのは、せっかくの素晴らしい治療機器がもったいないような気がします。
歯間ブラシの重要性
歯間ブラシは歯周病治療に必須です。
歯周病は歯間から始まります。
フロスは?と思われるかもしれませんが、フロスは虫歯予防に使用するものです。
EFP(ヨーロッパ歯周病連盟)のガイドラインでも、歯間ブラシが第一選択になっています。

私の歯周病治療の進め方
歯周病治療の基本は歯間ブラシ
私の歯周病治療は、まず歯間ブラシから始まります。
理由は3つあります。
・歯周病は歯間から始まること。
・歯ブラシはみんなやっていること。
・そして私の歯磨き指導のコンセプト「歯周病の見える化」——出血を見てもらうことに必須だからです。
歯周病の方なら、ほぼ100%歯間ブラシで出血します。毎日続けると1〜2週間で出血は止まります。これでセルフケアで歯周病を治す仕組みを理解してもらえます。
その先に歯ブラシの指導があります。
歯間ブラシが定着しないと、歯周基本治療(SRPスケーリングルートプレーニング、最近はSRDスケーリングルートデブライドメント)の意味がありません。
歯周基本治療では歯肉縁下のバイオフィルムと歯石を除去します。これが歯科医師、歯科衛生士側の初期歯周病治療のメインパートです。
歯間ブラシの定着と完全自己管理
歯間ブラシが定着するまで、SRPはやりません。歯磨きの状態が悪いままだとSRPの効果が出ないどころか、逆に悪化します。
患者さんと一緒に歯間ブラシの定着を目指し、歯肉の状態が改善してからSRPをおこなうのが私のルーティンです。
歯間ブラシで歯肉が改善していくのは、患者さん自身が一番感じてくれます。
この仕組みを理解してくれれば安心です。ただ分かった上でも、面倒で毎日歯間ブラシができない患者さんもたくさんいます。
でもそれで良いんです。歯周病治療の仕組みを理解してもらうことが大切です。
人生のどこかで患者さんの健康意識が高まるタイミングがあるはずです。患者さんが自己管理できるようにもっていくのが歯周病治療の本質です。
歯周外科治療(歯周病の手術)のタイミング

歯周病治療には歯周外科治療(再生療法)があります。ただし歯周外科治療は、完璧なセルフケアと歯周基本治療がなされた後におこなうべき処置です。
歯周病治療のガイドラインでもそう示されていますが、どのくらいの期間で治療を進めるのが良いのか。日本の歯周病治療ガイドラインから考えると、初診から3ヶ月くらいで歯周外科治療に進むことができます。
ただ本当に患者さんはセルフケアが定着しているのでしょうか。
最初の3ヶ月だけ気合が入っているだけかもしれません。
私は歯周病治療のゴールを「死ぬ時に健康な歯が何本あったか」だと考えています。歯周外科治療をおこなっても、数ヶ月後に歯磨きをやめればまた元に戻ってしまいます。
歯周外科治療のタイミングは、焦らず見極めるが私のルーティンです。
SRP非外科治療を続ければ治る歯周病もあります。歯周外科治療は何回もするものではないので、非外科治療で一回きりのタイミングを待ちます。
この症例(患者さん)について
歯間ブラシから治療を始めています。ひたすら歯間ブラシの指導とSRPをおこなっています。
歯間ブラシはLION DENT.EX 3Sサイズから初めて、徐々に歯間ブラシのサイズを上げていきます。
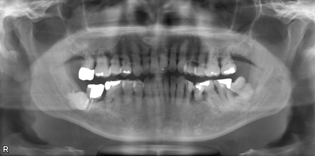
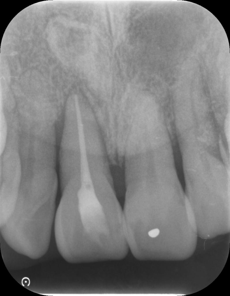
重度歯周病の部位が多数あり、歯周病により根管治療(神経の治療)が必要な歯も複数あったので、その治療も同時におこなっています。
エンドペリオ病変は、歯周病の診断も治療も複雑で難しいです。


↑治療前後で骨の状態が改善しています。現在は隣の歯と固定して経過を見ています。


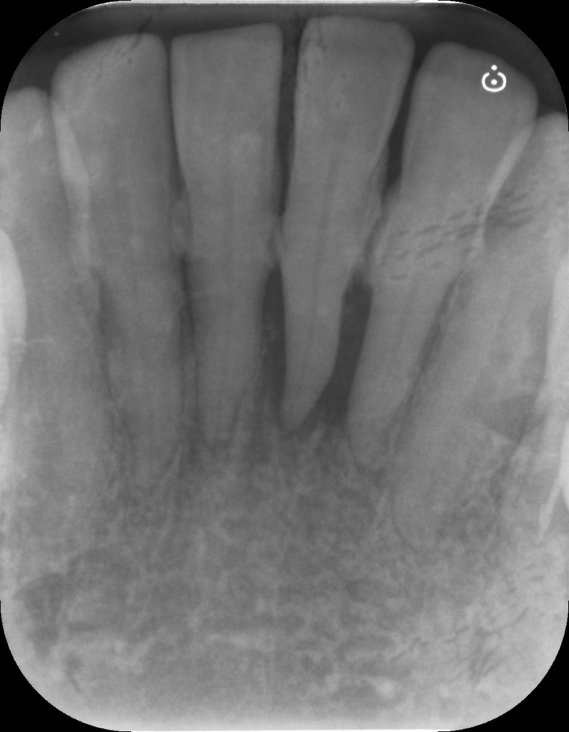
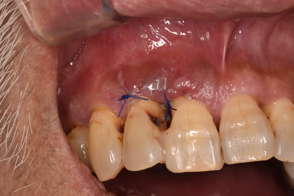
↑レントゲンで骨吸収を認めます。歯肉を切開すると実際に骨がありません。

↑歯周外科治療をおこなった後はどうしても歯肉が下がってしまいます。
複数の部位で歯周外科治療をおこないましたが、まだタイミングを探っている場所もあります。SRPの反応を見ながら、介入のタイミングを見ています。
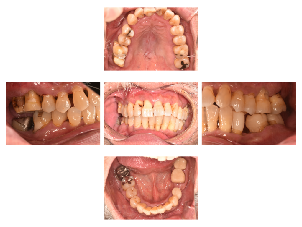
一通りアクティブな治療が落ち着いたので、現在は月に1回、歯磨きチェックと歯周病の状態を確認しています。今後経過を見ながら歯周外科治療や補綴治療(被せ物治療)の良いタイミングを見極めます。

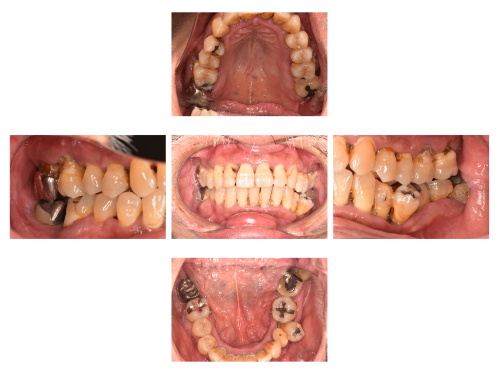
↑現在は歯磨きの状態が改善し、綺麗で引き締まったピンクの歯肉が維持されています。顕著な歯肉の退縮を全体的に認めますが、このまま経過を見続けます。今でこの歯肉退縮ですから、臼歯(奥歯)の歯周外科治療をするともっと歯肉が下がってしまいます。
歯肉が引き締まったことで全体的に知覚過敏が生じるようになっています。歯周病治療後は治療前に比べて歯根露出が目立ってしまいます。露出部分は象牙質でありムシ歯リスクが高いです。今後はムシ歯(根面う蝕)のチェックも欠かせません。
まとめ
歯周病治療は時間がかかりますし、患者さんとのコミュニケーションが本当に大切です。
最初に説明したように歯周病治療は患者さん自身が治すもので、私たち歯科医師はあくまでサポート役なんです。こちらがどれだけ手術をしても、患者さんが歯磨きをやめれば何の意味もありません。
歯周病治療は本当に奥が深いですね。

コメント